Sessione Pratica ( il Sabato )
Pubblicato da Nicola Palladino in Corso CPG · Venerdì 26 Dic 2025 · 4:15
Tags: Sessione, Pratica, Sabato, attività, pratica, formazione, workshop, apprendimento, sviluppo, personale
Tags: Sessione, Pratica, Sabato, attività, pratica, formazione, workshop, apprendimento, sviluppo, personale
Sabato Sessione Pratica orario dalle 8:30 alle 14:30
Benvenuti alla nostra entusiasmante sessione pratica del sabato! Oggi ci immergeremo nella personalizzazione del provvisorio a carico immediato, ma non è tutto qui. Nelle sessioni teoriche, abbiamo esplorato come progettare il provvisorio da applicare immediatamente dopo l'intervento di chirurgia guidata. Questo provvisorio, realizzato in composito tramite stampa 3D, è una vera innovazione. La sua creazione per addizione è fondamentale, dato che le forme irregolari dei supporti garantiscono una perfetta stabilità sulla parte primaria della dima, solo con la produzione per addizione è possibile ripetere quel disegno
Durante la parte teorica, abbiamo discusso dei vari materiali disponibili sul mercato e dei miei preferiti nell'uso quotidiano. Ammetto di essere stato scettico sulla loro qualità, ma sono felice di condividere che questi materiali si sono evoluti notevolmente, raggiungendo standard qualitativi molto elevati. Tuttavia, la loro rigidità estrema è un difetto da considerare, mentre il problema della monocromia è stato superato grazie al protocollo di finitura che vi presenterò in questo articolo e che metteremo in pratica sabato.
Quindi, preparatevi! La giornata pratica sarà dedicata all'individualizzazione del provvisorio stampato, sia attraverso la stratificazione interna che la colorazione superficiale. Questo protocollo non è limitato ai provvisori a carico immediato, ma può essere applicato ogni volta che desiderate dare un tocco personale ai vostri lavori in composito o resina. In sostanza, si tratta di un vero e proprio corso di stratificazione!
Siamo partiti realizzando il nostro provvisorio per fresatura, o meglio, per sottrazione. Questo metodo di produzione, come tutte le tecniche, ha i suoi pro e contro. Il principale vantaggio è che possiamo utilizzare dischi di materiale già multistrato o multi-layer, il che conferisce al manufatto un'estetica gradevole, con una sfumatura standard ma comunque naturale. Oggi sul mercato ci sono materiali altamente performanti. Tuttavia, lo svantaggio risiede nella produzione: la forma del provvisorio, in particolare nella parte che ospita i magneti, è difficile da replicare con gli utensili da fresaggio. Anche con una macchina a 5 assi, l'utensile deve operare con angolazioni superiori a quelle consentite, il che può portare a incongruenze rispetto al disegno CAD o, nei casi peggiori, a problemi durante la lavorazione che rischiano di danneggiare l'utensile.
Inizialmente, abbiamo utilizzato la sottrazione come metodo di produzione, puntando sulla velocità di esecuzione, poiché il pezzo era già stratificato. Grazie a strategie digitali e analogiche, riuscivamo a incollare gli agganci dei magneti sul provvisorio. Il risultato era molto soddisfacente, ma eravamo certi che ci fosse spazio per migliorare ulteriormente.
I vantaggi della fresatura sono evidenti:
Accoppiamento perfetto: Le protesi si adattano meglio, migliorando il comfort e la funzionalità.
Qualità costante: Il controllo digitale assicura stabilità di forma e qualità del taglio.
Superfici lisce: Migliore lucidatura, minor accumulo di placca.
Meno passaggi: Processi ottimizzati e più rapidi.
Produttività: Sistemi modulabili per adattarsi alle esigenze del laboratorio.
Versatilità: Lavora materiali avanzati come zirconia, titanio, PEEK, PMMA.
Biocompatibilità: Materiali come titanio e PEEK sono ben integrati dai tessuti.
Estetica e Resistenza: Zirconia e ceramica garantiscono durabilità e naturalezza estetica.
L'elasticità è fondamentale, mentre i materiali stampati erano notoriamente rigidi e, di conseguenza, estremamente fragili. Tuttavia, l'industria ha fatto enormi progressi e ogni giorno emergono nuovi materiali innovativi. Tra questi, uno ha catturato la nostra attenzione al punto da diventare la scelta preferita per le nostre ricostruzioni.
Per affrontare il rischio di rottura dovuto all'eccessiva rigidità, i nostri provvisori sono dotati di un supporto in titanio. Questo ci assicura una resistenza alla flessione, permettendo al materiale di sfruttare la sua notevole durezza durante la masticazione. La progettazione di un provvisorio con supporto metallico richiede tempo e competenze specializzate, ma i risultati parlano chiaro.
Per risolvere il problema estetico, considerando che questi materiali non presentano varianti di colore ma sono monocromatici, abbiamo sviluppato un protocollo di micro stratificazione interna e di colorazione esterna, quest'ultimo lo adoperiamo in casi dove il provvisorio rimane nel cavo orale per un periodo di massimo 6 mesi perche riteniamo che le glasure fotopolimerizzanti possano favorire l'adesione della placca orale. Crediamo che sia più efficace ridurre l'anatomia dei denti frontali, applicare strati di materiali con diverse trasparenze e opalescenze e lucidare meccanicamente il pezzo.
Queste sono le procedure che realizziamo quotidianamente nel nostro laboratorio, per garantire che ogni lavoro sia unico e duraturo nel tempo. Ogni giorno, ci impegniamo a seguire rigorosi protocolli e metodi collaudati che ci permettono di ottenere risultati eccellenti. Ogni fase del processo è attentamente monitorata e controllata, affinché ogni dettaglio venga curato con precisione e passione. Siamo convinti che la qualità non sia solo un obiettivo, ma un vero e proprio stile di vita nel nostro lavoro. La nostra dedizione ci consente di offrire prodotti e servizi che non solo soddisfano le aspettative dei nostri clienti, ma le superano, garantendo così che ogni creazione sia non solo unica, ma anche capace di resistere alla prova del tempo.
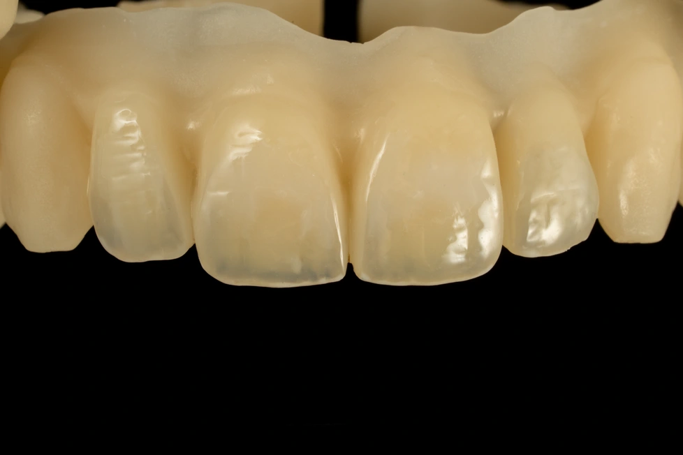
Ecco alcune immagini rappresentative della successione di passaggi che farai tu nella giornata di sabato :





Questo è un tipico esempio di quello che realizzerai sabato, un progetto che ti permetterà di mettere in pratica le tecniche di modulazione delle masse. Ti spiegherò nel dettaglio come modulare queste 4 masse in modo da ottenere effetti sempre diversi e sorprendenti. Sono certo che una volta che avrai preso padronanza con la tecnica, ti basteranno solo 30 minuti per personalizzare i 4 elementi frontali in maniera creativa e unica, rendendo il tuo lavoro davvero speciale.
IMPORTANTE
È fondamentale che tu porti con te tutto l'occorrente necessario per poter lavorare il composito in modo efficace. Assicurati di avere spatole, frese e gomme da composito, poiché questi strumenti saranno essenziali per ottenere risultati ottimali. La sede ExoFacile ti mette a disposizione il materiale da consumo, ma è importante notare che non dispone di attrezzi per la lavorazione del composito. Pertanto, è responsabilità tua assicurarti di avere tutto il necessario per svolgere il lavoro senza intoppi, in modo da poter sfruttare al meglio la tua esperienza.
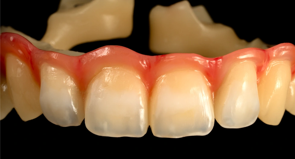
Ecco alcuni esempi di quello che puoi ottenere :





Non sono presenti ancora recensioni.
